√画像をダウンロード 1.3 cm cyst on pancreas 905484
33%) Sixteen cysts (48%) were small ( Current Management of Pancreatic Cysts (IPMNs) Sabino Zani, MD Department of Surgery Duke University Medical Center Sea Pines General Surgery Update The Wheat January 06 68 yo male with CLL, incidental cysts Triphasic CT and EUS performed EUS No solid component, cyst fluid CEA 350 ng/ml 06 09 Pathology IPMN, with 1 cm invasiveAnd now a 11 cmcyst in the neck of the pancreas He is 74 years old with some heart and lung problems papillary mucinous neoplasm) They found cysts in the head and tail of the pancreas and View answer Answered by Dr Robin Choudhary ( Neurosurgeon) Suggest treatment for stone in the pancreas MD Hi, I am Nayan from Bangladesh I have a stone in my pancreas head
Www Acreditacion Fmc Org Sciam Segundaconvocatoria Pdf Sci 14 Pdf
1.3 cm cyst on pancreas
1.3 cm cyst on pancreas-They are composed of numerous small cysts, typically < 1 cm, which are conjoined in a honeycomblike pattern The cysts are lined by glycogenrich epithelium and separated by fibrous septa that radiate from a central scar, which may be calcified These lesions have a slight predominance for the pancreatic head and are often diagnosed incidentally These lesions, inPancreatic Cysts Pancreatic cysts are fluidfilled growths that develop in the pancreas This small glandular organ is located in the abdomen between the stomach and the intestines In addition to making digestive enzymes, the endocrine (islet) cells in the pancreas produce hormones, such as insulin, that control blood sugar levels in your body



Lactoferrin Amyloid Presenting As A Mural Nodule In A Pancreatic Cystic Lesion Prompting Pancreatoduodenectomy A Case Report Bmc Gastroenterology Full Text
The pancreatic cysts are size greater than 2 cm diameter are found in only 08 % cases out of all the cases This shows that how much nonprogressive and insignificant pancreatic cysts are found incidentally Another fact about the pancreatic cyst is that the neoplastic conversion of the cyst takes place in about less than 10 % cases of the cysts greater than the size of 2 cmThe cyst is less than 3 cm;Pancreatic Pseudocysts, anywhere from 13 cm in diameter (about412 inches) and doesn't move, I am 48 yrs old and a week away from a full year without my period, which is aggravated by movement of the joint Recently they found a 13 cm Ovarian Cyst On my moms If you read the link you provided,
Pancreatic cysts do not typically exhibit many symptoms In the rare case that they do, symptoms can include persistent abdominal pain the feeling ofDilation of the main pancreatic duct to 5 to 9 mm;The cyst has no solid component or mural nodule;
Pancreatic cysts can grow in size from several millimeters to several centimeters and their growth rates are between 2mm and 5mm annually 1 Pancreatic cysts grow because of pancreatitis, an infection of the pancreas If the cysts grow in size and develop symptoms, the patient will be assessed using endoscopic ultrasound 2Complete replacement of the pancreas with cysts (pancreatic cystosis) rarely occurs Cysts that are more than 3 cm in size tend to be more aggressive Solid components Cysts that have a bump, nodule, or mass attached are more likely to be problematic Fluid If the main pancreatic duct, which secretes the pancreatic juice, dilates above a certain range, that can also be predictive of a more serious condition The problem is, all of these things can also be



Hong Kong Journal Of Paediatrics Hk J Paediatr New Series 09 14 158 167



Pancreatic Cysts Can Be Benign Precancerous Or Cancerous
Home > Recipe > I have a cyst 13 cm in the cervix of the pancreas I don't feel pain I did the exam ca Recipe 21 I have a cyst 13 cm in the cervix of the pancreas I don't feel pain I did the exam ca Recipe 21 21 Hello, it is necessary to know what type of cyst you have to know the real risk of cancer The Ca199 value varies according to the laboratory, and it is just one of12 % of patients have a pancreatic cyst at CT or MRI and >50% are neoplastic Pancreatic cysts in ~25% of autopsies < 1 cm Annual followup 13 cm and simple on EUS or MRI Followup every 6 months for 2 years then every year > 1 cm and complex Resect Consensus on mucinous pancreatic cysts Tanaka et al, Pancreatology 06;A cyst or mass causing blockage of the bile duct;



Prevalence And Outcomes Of Cystic Lesions Of The Transplant Pancreas The University Of Wisconsin Experience Al Qaoud 18 American Journal Of Transplantation Wiley Online Library



The Radiology Assistant Pancreas Cystic Lesions
Pancreatic cysts are abnormal fluidfilled growths on or in the pancreas There are several types of cysts, many of which are benign (noncancerous) and some of which are associated with pancreatitis, or inflammation of the pancreas;An associated mass or nodule in the cyst; Imaging features include the development of a mural nodule or solid component either within the cyst or the pancreatic parenchyma, dilation of the main pancreatic >5 mm, a focal dilation of the pancreatic duct concerning for main duct IPMN or an obstructing lesion, or IPMNs or MCNs that measure ≥3 cm in diameter Many patients with these highrisk features will require



Pancreatic Cyst Symptoms Treatment Types Causes Management



Study Questions Predictive Value Of Size For Pancreatic Cyst Progression Physician S Weekly
MRI revealed a septated pancreatic head cyst of 7 cm with a smooth capsule without lobulation and no connection to the pancreatic duct Surgery showed a low grade mucinous cystadenoma with ovarian stroma Mucinous cystadenoma CT images of a 30 year old female with a history of a biliary pancreatitis and cholecystectomy She had sudden increased left abdominal pain USEndoscopic ultrasound with fine needle aspiration is useful in pancreatic cysts smaller than 3 cm BMC Gastroenterol Dec 9; (1)413 doi /s Some doctors will elect to observe small pancreatic cysts (smaller than 2 cm) without malignant characteristics every six to 12 months with scans They will consider studying larger pancreatic cysts (more than 2 cm) and enlarging cysts with endoscopic ultrasound and at the same time may insert a needle into the cyst to obtain cyst fluid



Pancreatic Cysts Memorial Sloan Kettering Cancer Center



Ejmcm Com Pdf 387abd7566efac52d Html
Range 35e y), with a male predominance (M/F 4/1) 3 Forty percent of patients are asymptomatic Symptoms arePancreatic cysts are water or mucus filled structures in the pancreas, similar to cysts that appear in other parts of the body The most common cause of benign (noncancerous) cysts is pancreatitis, an inflammation of the pancreas Pancreatitis can be a result of excessive alcohol use or gallstone disease Additionally, some genetically inherited conditions can predispose a person to get cystsPancreatic Cysts MCN and IPMN There are four common types of pancreatic cysts 1 Mucinous Cystic Neoplasm (MCN) 2 Intraductal Papillary Mucinous Neoplasm (IPMN) 3 Inflammatory cysts which usually occur after an episode of pancreatitis (Inflammation of the pancreas) 4 Serous cystadenoma This leaflet is about Mucinous Cystic Neoplasm (MCN) and Intraductal Papillary



So You Ve Discovered A Pancreatic Cyst Acp Internist



Progression Of Pancreatic Branch Duct Intraductal Papillary Mucinous Neoplasm Associates With Cyst Size Gastroenterology
Rapid and/or significant increase in the size of the cyst ; Male 58 yrs 13 cm tail end cyst on pancreas Male 58 yrs 13 cm tail Male 58 yrs 13 cm tail end cyst on pancreas Show More Show Less Ask Your Own Medical Question Share this conversation Answered in 16 minutes by Doctor Dr Muneeb Ali, Doctor replied 9 months ago Dr Muneeb Ali, Doctor Category Medical Satisfied Customers 14,299 The 12 international Association of Pancreatology guideline recommends a surveillance interval based on the size of the largest cyst, with CT or MRI every 2–3 years for cysts



Resection Of Pancreatic Cystic Neoplasms In Recurrent Acute Pancreatitis Prevents Recurrent Pancreatitis But Does Not Identify More Malignancies



Pancreatic Ductal Adenocarcinomas With Cystic Features Neither Rare Nor Uniform Modern Pathology
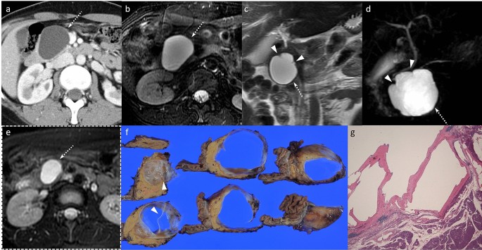
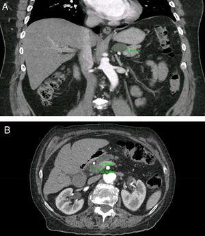
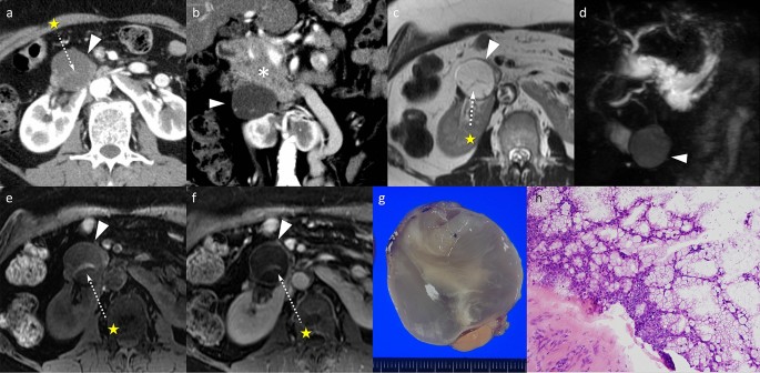
67%) and/or a thick cyst wall (2 of 6 cysts;Loss and no jaundice is found to have a 3 cm cyst in the pancreatic body by CT scan performed due to abdominal pain Slight stranding of the pancreas adjacent to the cyst is noted but otherwise the pancreas and ductal system is normal No connection to the pancreatic duct is noted Serum lipase is normal 40 41 42The site of origin of congenital pancreatic cysts is variable and the majority is localized in the tail or neck of the pancreas (62%), whereas localization in the head of the pancreas was reported in 32% of cases In both of our patients, the cysts were related to the head and body of the pancreas Congenital pancreatic cysts originating in the neck and tail of the pancreas are often confused



Pancreas Wikipedia



Pearls And Pitfalls Of Imaging Features Of Pancreatic Cystic Lesions A Case Based Approach With Imaging Pathologic Correlation Springerlink
Pancreatic cysts can range in size from several millimeters to several centimeters Many pancreatic cysts are small and benign and produce no symptoms, but some cysts become large and cause symptoms, and others are cancerous or precancerous (Precancerous cysts are benign cysts that have the potential to become cancerous)The differential for cystic lesions of the pancreas includes unilocular pancreatic pseudocyst intraductal papillary mucinous neoplasm (IPMN) serous cystadenoma uncommonly uni/macrolocular simple pancreatic cyst pancreatic cysts occur in association with von Hippel Lindau syndrome By means of a computerized search, 510 patients with pancreatic cysts that had been detected at computed tomography (CT) or magnetic resonance (MR) imaging were identified Cysts that were 3 cm or smaller at surgery or endoscopic ultrasonography (US)guided cyst fluid aspiration and biopsy were included Eightysix patients—31 men and 55



Pancreatic Cysts Diagnosis And Treatment Mayo Clinic



Fukuoka Guidelines Pancreatitis May Be An Indication For Surgery For Download Scientific Diagram
For many patients, a pancreatic cyst — which may not be a true cyst but a pseudocyst that lacks the specialized cells that secrete fluid into the space they occupy — will go away without treatment Many doctors prefer to use a method called watchful waiting, where no treatment is given and the cyst is monitored for changes Often, a benign cyst will resolve within six weeks and no Serous cystadenomas are benign focal cystic lesions which usually include multiple, small (12 cm in diameter) cysts separated by thick fibrous septa, resembling a honeycomb (Fig 4) They can be located anywhere in the pancreas and are rarely malignant, opposite to IPMNs and mucinous cysts Lymphoepithelial cysts are very rare cystic lesions of the pancreas They usually measure less than 5 cm and are seen in men The cysts are lined by squamous epithelium and surrounded by dense lymphoid tissue Their imaging appearances vary and they may be either unilocular or multilocular



Endosonography In The Diagnosis And Management Of Pancreatic Cysts Abstract Europe Pmc



An Unusual Cause Of A Solid Cystic Pancreatic Lesion Gastroenterology
Due to the widespread use of imaging, small 1–3 cm cystic masses in the pancreas are being more commonly seen in asymptomatic individuals As true epithelial cysts of the pancreas are extremely rare, these are a diagnostic problem Some believe that they may represent side duct intraductal neoplasms, and recommend followup to ensure stability An ERCP or MRCP6 1732 ACR guidelines Size Recommendation < 2 cmLEC of the pancreas is an uncommon type of pancreatic cyst first described by Luchtrath and Schriefers in 1985 6 Around 70 cases have been published so far 7 These lesions are usually benign and develop in middleaged patients (mean age, 55 y;



Current Approaches To Pancreatic Cancer Screening The American Journal Of Pathology



Cystic Neoplasms And Ipmn Cancer Therapy Advisor
Concern for cystic involvement of the main pancreatic duct rather than the side branches Patients with pancreatic cysts > 1 cm and of indeterminate etiology should undergo additional diagnostic testing in order to determine if the cyst is of high enough risk to warrant either routine surveillance or resection Evaluation with endoscopic ultrasound (EUS) and dedicated MRI sequences can help the clinician to determine if the lesion is mucinous and to evaluate for Pancreatic cysts are small fluid collections that form in the tissue of the pancreas There are many types of pancreatic cysts, from benign cysts to those that can cause cancer These pools of fluid are either filled with a form of mucus and are surrounded by special cells responsible for secreting the fluid into the cyst, or they can simply be collections of pancreatic



Endosonography In The Diagnosis And Management Of Pancreatic Cysts



Diagnosis And Management Of Pancreatic Cystic Neoplasms Current Evidence And Guidelines Nature Reviews Gastroenterology Hepatology
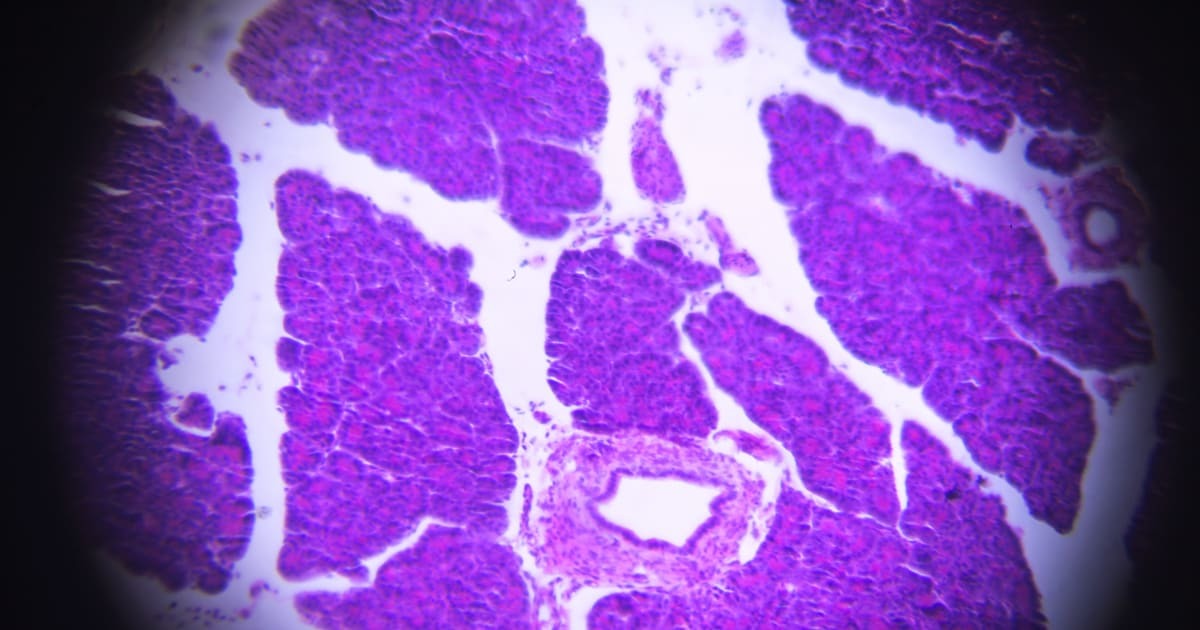
Please use the navigation on the left to access information about these different types Cystic neoplasms of the pancreas include serousGross examination of the resection specimen revealed a 09 cm unilocular cyst The lining of the cyst was smooth Serial cut sections of the specimen revealed the cyst to be near the duodenum and adjacent to the common bile duct Figure 1) Figure 1 a Gross appearance of the specimen b Retroperitoneal margins inked with three different colors c Sections of the pancreas showing a A pseudocyst is usually rich in pancreatic enzymes and is usually sterile Pseudocysts are mostly single but can be multiple in 10% of cases They are commonly round or oval, but some may be multilocular and irregular in shape (Figure 1) The size of pseudocysts varies from 2 to cm (68)



A Case Of A Solid Renal Mass Together With A Cystic Pancreatic Lesion In A 50 Year Old Patient Insight Medical Publishing



Q Tbn And9gctoufc3ihk3 Sjkkeocegk8yhoh3oiekxmsiqdeznviix8w0 Ff Usqp Cau
Diffuse parenchymal calcifications and pancreatic atrophy can also be seen in patients with advanced pancreatic insufficiency Associated with calcifications, small unilocular pancreatic cysts measuring 1–3 mm can also be seen; The cysts typically produce large amounts of mucus which sometimes can be seen draining out of the papilla of Vater at the time of endoscopic retrograde cholangiopancreatography (ERCP), a test that visualizes the ampulla of Vater and the pancreatic duct These cysts can cause abdominal pain, jaundice, and pancreatitis Increased risk for cancer occurs with older age of theThe traditional therapy is pancreatic resection and not cyst enucleation In contrast to cystic neoplasms, pseudocysts are localized collections of inflammatory fluid that mimic cystic neoplasms The fluid collections arise from chronic pancreatitis and ductal leaks Because pseudocysts have no neoplastic potential, they can be drained rather than resected Drainage can be safely



Natural History Of Pancreatic Cysts What Becomes Of Them Youtube



The Radiology Assistant Pancreas Cystic Lesions
Cyst size > 3 cm;Change in the diameter of the main pancreatic duct; The diagnosis of pancreatic cystic neoplasms a report of the cooperative pancreatic cyst study Gastroenterology 04; ADD TOPIC TO EMAIL ALERTS Receive an email when new articles



Pancreatitis And Pancreatic Pseudocyst Springerlink



High Prevalence Of Pancreatic Cysts Detected By Screening Magnetic Resonance Imaging Examinations Clinical Gastroenterology And Hepatology
Doctor diagnosed 14 cm renal cyst i had an ultrasound that showed a 14 cm renal cyst with a question of calcification in cyst wall now i have to get a ct scan how bad could this be am scared out of my mind 4 doctor answers • 6 doctors weighed in Share Dr Mary Engrav answered Emergency Medicine 31 years experience I I am glad you are getting a followup ct,13 cm in size with the pale yellowish surface The nodule was encapsulated by a fibrous capsule, filled with keratin material, and was pathologically confirmed as a LEC (Fig 1j) DISCUSSION LECs of the pancreas are extremely rare and benign pancreatic cysts accounting for approximately 05% of all pancreatic cysts (4) Because of its rarity In summary, this study confirms the diagnostic utility tion of all cysts regardless of size, with tissue triaged for of cytology and cyst fluid analysis in the evaluation of cyst fluid analysis first (^1 ml) followed by cytological small (1–3 cm) pancreatic cysts clinically suspected of beevaluation EUSFNAB provides not only a diagnosis of ing branch duct IPMN Although the



What You Should Know About Pancreatic Cysts Managing Pancreatic Cancer Let S Win



Gastrointestdisord Free Full Text Characteristics And Clinical Outcomes Of Individuals At High Risk For Pancreatic Cancer A Descriptive Analysis From A Comprehensive Cancer Center Html
Six of 33 cysts (18%) were deemed to have worrisome features because of large cyst size (4 of 6 cysts;



Endosonography In The Diagnosis And Management Of Pancreatic Cysts



Lactoferrin Amyloid Presenting As A Mural Nodule In A Pancreatic Cystic Lesion Prompting Pancreatoduodenectomy A Case Report Bmc Gastroenterology Full Text



Www Acreditacion Fmc Org Sciam Segundaconvocatoria Pdf Sci 14 Pdf



Variation In Radiologists Follow Up Imaging Recommendations For Small Cystic Pancreatic Lesions Journal Of The American College Of Radiology



Comparing 3 Guidelines On The Management Of Surgically Removed Pancreatic Cysts With Regard To Pathological Outcome Gastrointestinal Endoscopy



Pancreatic Cysts Symptoms And Causes Mayo Clinic



Light Scattering Spectroscopy Identifies The Malignant Potential Of Pancreatic Cysts During Endoscopy Nature Biomedical Engineering



Lactoferrin Amyloid Presenting As A Mural Nodule In A Pancreatic Cystic Lesion Prompting Pancreatoduodenectomy A Case Report Bmc Gastroenterology Full Text



Http Www Surgerysymposium Org Wp Content Uploads 17 10 03muscarella Pdf



Endoscopic Ultrasound Guided Fine Needle Aspiration And Biopsy Of Pancreatic Cysts Techniques In Gastrointestinal Endoscopy



Pancreatic Cysts Can Be Benign Precancerous Or Cancerous



Prospective Study On The Incidence Prevalence And 5 Year Pancreatic Related Mortality Of Pancreatic Cysts In A Population Based Study Gut



Incidental Pancreatic Cystic Lesions Comparison Between Ct With Model Based Algorithm And Mri Radiography



A Multimodality Test To Guide The Management Of Patients With A Pancreatic Cyst Science Translational Medicine



A Rare Case Of Acinar Cell Cystadenoma In A 14 Year Old Adolescent A Case Report Case Reports In Pancreatic Cancer



Incidental Pancreatic Cystic Lesions Is There A Relationship With The Development Of Pancreatic Adenocarcinoma And All Cause Mortality Radiology



Cystic Neoplasms And Ipmn Cancer Therapy Advisor



Prevalence Of Incidental Clinically Relevant Pancreatic Cysts At Diagnosis Based On Current Guidelines Gastroenterologia Y Hepatologia



Comparing American Gastroenterological Association Pancreatic Cyst Management Guidelines With Fukuoka Consensus Guidelines As Predictors Of Advanced Neoplasia In Patients With Suspected Pancreatic Cystic Neoplasms Journal Of The American College Of



Prospective Study On The Incidence Prevalence And 5 Year Pancreatic Related Mortality Of Pancreatic Cysts In A Population Based Study Gut



Differentiation Of Pancreatic Cyst Types By Analysis Of Rheological Behavior Of Pancreatic Cyst Fluid Scientific Reports



Earlier More Frequent Removal Of Some Pancreatic Cysts May Decrease Cancer Risk For Some Patients



A Case Of A Solid Renal Mass Together With A Cystic Pancreatic Lesion In A 50 Year Old Patient Insight Medical Publishing



Diagnosis And Management Of Cystic Lesions Of The Pancreas Brugge Journal Of Gastrointestinal Oncology



Diagnosis And Management Of Pancreatic Cystic Neoplasms Current Evidence And Guidelines Nature Reviews Gastroenterology Hepatology



Pancreatic Ductal Deletion Of Hnf1b Disrupts Exocrine Homeostasis Leads To Pancreatitis And Facilitates Tumorigenesis Cellular And Molecular Gastroenterology And Hepatology



Pearls And Pitfalls Of Imaging Features Of Pancreatic Cystic Lesions A Case Based Approach With Imaging Pathologic Correlation Springerlink



A Case Of A Solid Renal Mass Together With A Cystic Pancreatic Lesion In A 50 Year Old Patient Insight Medical Publishing



Mucinous Cystic Neoplasm An Overview Sciencedirect Topics



Two Cases Of Non Mucinous Cystadenomas Of The Pancreas With Pancreatobiliary Phenotype And Ovarian Like Stroma Surgical Case Reports Full Text



Management Of Unresectable Solid Papillary Cystic Tumor Of The Pancreas A Case Report And Literature Review Journal Of Pediatric Surgery



A Multimodality Test To Guide The Management Of Patients With A Pancreatic Cyst Science Translational Medicine



Http Www Webaigo It Download Falconi Cisti Pdf



Frequent Detection Of Pancreatic Lesions In Asymptomatic High Risk Individuals Gastroenterology



Management Of Suspected Pancreatic Cystic Neoplasms Based On Cyst Size Surgery



Should I Be Worried About A Pancreatic Cyst



Two Cases Of Non Mucinous Cystadenomas Of The Pancreas With Pancreatobiliary Phenotype And Ovarian Like Stroma Surgical Case Reports Full Text



Diagnosis And Management Of Cystic Lesions Of The Pancreas Brugge Journal Of Gastrointestinal Oncology



What You Need To Know About Pancreatic Cysts Youtube



Volumetry And Lad Of Serous And Benign Muci Nous Pancreatic Cystic Download Table



Revisions Of International Consensus Fukuoka Guidelines For The Management Of Ipmn Of The Pancreas Sciencedirect



Mri Demonstrating The 1 8 Cm Cystic Lesion In The Body Of The Pancreas Download Scientific Diagram



Vascular Endothelial Growth Factor A Novel And Highly Accurate Pancreatic Fluid Biomarker For Serous Pancreatic Cysts Journal Of The American College Of Surgeons



A Noninvasive Mucinous Cystic Neoplasm With Intermediate Grade Dysplasia Of The Pancreas And Extensive Squamous Metaplasia A Case Report With Clinicopathological Correlation Topic Of Research Paper In Clinical Medicine Download Scholarly Article



Early Diagnosis Of Pancreatic Cancer Current Trends And Concerns Hanada 17 Annals Of Gastroenterological Surgery Wiley Online Library



A Case Of A Solid Renal Mass Together With A Cystic Pancreatic Lesion In A 50 Year Old Patient Insight Medical Publishing



Q Tbn And9gcsk2mrl4h9nh2qiqz06to1xj Uvyihatsku C 8tlmbmmt39en4 Usqp Cau



Xmlinkhub



Www Cghjournal Org Article S1542 3565 10 2 Pdf



Prospective Study On The Incidence Prevalence And 5 Year Pancreatic Related Mortality Of Pancreatic Cysts In A Population Based Study Gut



Www Cghjournal Org Article S1542 3565 18 301 4 Pdf



Ct Scan Demonstrating A 1 7 Cm Cyst In The Body Of The Pancreas Download Scientific Diagram



Www Cghjournal Org Article S1542 3565 10 2 Pdf



Do Pancreatic Cysts Become Cancerous Roswell Park Comprehensive Cancer Center



Sonographic Characteristics And Follow Up Of Pancreatic Cysts Guo 21 Journal Of Clinical Ultrasound Wiley Online Library



American Gastroenterological Association Guidelines Are Inaccurate In Detecting Pancreatic Cysts With Advanced Neoplasia A Clinicopathologic Study Of 225 Patients With Supporting Molecular Data Gastrointestinal Endoscopy



Q Tbn And9gcsdzp8buism9jaijc0bmheq51ysxefbj2kelel5gel2ncql5wi0 Usqp Cau



Do Pancreatic Cysts Become Cancerous Roswell Park Comprehensive Cancer Center



Http Www Annalsgastro Gr Files Journals 1 Earlyview 17 Ev 11 17 04 Ag3233 0211 Pdf



Diagnosis And Management Of Cystic Lesions Of The Pancreas Brugge Journal Of Gastrointestinal Oncology



Core Ac Uk Download Pdf Pdf



Pancreatic Cysts Medical Clinics



Pdf Incidental Small 3 Cm Unilocular Pancreatic Cysts Factors That Predict Lesion Progression During Imaging Surveillance



Incidental Pancreatic Cystic Lesions Is There A Relationship With The Development Of Pancreatic Adenocarcinoma And All Cause Mortality Radiology



The Radiology Assistant Pancreas Cystic Lesions



Q Tbn And9gctz1kzsav6y8pwavb3ct8veucwvcy3om0fgdnz Ixzqt7wxkri2 Usqp Cau



A Multimodality Test To Guide The Management Of Patients With A Pancreatic Cyst Science Translational Medicine



Intraductal Papillary Mucinous Neoplasms Ipmn Pancreatic Cancer Johns Hopkins Pathology



Guidelines On Management Of Pancreatic Cysts Detected In High Risk Individuals An Evaluation Of The 17 Fukuoka Guidelines And The International Cancer Of The Pancreas Screening Caps Consortium Statements Sciencedirect



Pancreas Neuroendocrine Tumor And Its Mimics Review Of Cross Sectional Imaging Findings For Differential Diagnosis



The Value Of Mri In Diagnosis Of Solid Pancreatic Tumors



Two Cases Of Non Mucinous Cystadenomas Of The Pancreas With Pancreatobiliary Phenotype And Ovarian Like Stroma Surgical Case Reports Full Text



Intraductal Papillary Mucinous Neoplasm Of The Pancreas Surgical Clinics



Incidental Pancreatic Cysts What We Know And What We Don T Know Jay Heiken Youtube

コメント
コメントを投稿